Hubungi Kami

Halo! Kami siap untuk membantu Anda.

FAQ

Temukan topik seputar Poultry Indonesia.

FAQ

Apa itu Poultry Indonesia?

Kapan Majalah Poultry terbit?

Bagaimana cara mendapatkan dan berlangganan majalah Poultry Indonesia?

Bagaimana cara membayar pesanan majalah Poultry Indonesia?

Apa itu Advertorial?

Bagaimana cara memasang iklan di website Poultry Indonesia?

Dari mana referensi informasi dalam majalah poultry indonesia?

Dengan siapa saya bisa bertanya seputar kesehatan, penyakit terkait unggas?

Apa itu Poultry Events?

Dengan siapa saya bisa ingin mengajukan kerjasama media partner atau mengadakan suatu kegiatan?

Apa itu Poultry Indonesia?

Poultry Indonesia merupakan majalah yang didirikan pada tahun 1979 di Jakarta, dan menjadi majalah pertama dan tertua di Indonesia yang memiliki ulasan khusus mengenai perunggasan.

Referensi informasi yang tersaji dalam majalah Poultry Indonesia tidak hanya tercakup dalam negeri saja, Poultry Indonesia telah menjalin kerjasama dengan berbagai pihak luar negeri untuk menyajikan informasi terkait perkembangan perunggasan di luar Indonesia.

Poultry Indonesia terdiri dari sekelompok orang yang memiliki dedikasi dan apresiasi tinggi terhadap pekerjaan mereka, dengan senantiasa selalu menyajikan sebuah majalah yang layak dibaca oleh masyarakat perunggasan.

Kapan Majalah Poultry terbit?

Majalah Poultry Indonesia terbit per bulan pada minggu ke-2 dan memiliki dua belas edisi setiap tahun.

Bagaimana cara mendapatkan dan berlangganan majalah Poultry Indonesia?

Majalah Poultry Indonesia tersedia di Toko Buku Gramedia namun dengan kuantiti terbatas. Anda bisa juga langsung membeli dengan menghubungi Poultry Indonesia melalui:

Telepon : +6221 62318153
Email : sirkulasi@poultryindonesia.com
Instagram : @poultryindonesia

Atau daftar secara online dengan cara isi formulir pendaftaran poultryindonesia.com/berlangganan

Bagaimana cara membayar pesanan majalah Poultry Indonesia?

Pembayaran Majalah Poultry Indonesia dapat dilakukan melalui transfer:

BANK BUMI ARTA
A/C. 109 129 0081
a/n. Kharisma Satwa Media
Cabang: Mangga Dua- Jakarta Pusat

Bukti transfer dikirim melalui Email:

sirkulasi@poultryindonesia.com

Apa itu Advertorial?

Advertorial adalah artikel yang dimuat di media massa dengan cara membayar yang bertujuan untuk promosi. Selain itu juga advertorial bisa diartikan sebagai iklan yang disusun atau dibuat sedemikian rupa sehingga seperti sebuah artikel yang dikarang oleh media cetak yang bersangkutan.

Bagaimana cara memasang iklan di website Poultry Indonesia?

Untuk dapat memasang iklan pada Website Poultry Indonesia dapat menghubungi Divisi Iklan melalui Email:

advertisement.poultryindonesia@gmail.com

Atau dapat melalui Whatsapp Divisi Iklan & Marketing

Darimana referensi informasi dalam majalah poultry indonesia?

Referensi informasi yang tersaji dalam majalah Poultry Indonesia tidak hanya tercakup dalam negeri saja, Poultry Indonesia telah menjalin kerjasama dengan berbagai pihak luar negeri untuk menyajikan informasi terkait perkembangan perunggasan di luar Indonesia.

Koresponden Luar Negri:
Elis Helinna (New York, Amerika Serikat)

Koresponden Dalam Negeri:
Boy Gunawan Agustino (Tegal), Muhrishol Yafi (Sidoarjo), Mahardika Agil Bimasono (Yogyakarta), Sri Maulidini (Purwokerto), Tri Okto Sareji Adytia (Poso).

Dengan siapa saya bisa bertanya seputar kesehatan, penyakit terkait unggas?

Dapat menghubungi tim redaksi di Email redaksi.poultryindonesia@gmail.com
atau dapat melalui pesan Whatsapp Divisi Redaksi & Kesehatan

Apa itu Poultry Events?

Poultry Events merupakan bagian dari divisi Marketing di Poultry Indonesia yang menangani event organizer, tour peternakan, dan media relations.

Dengan siapa saya bisa ingin mengajukan kerjasama media partner atau mengadakan suatu kegiatan?

Dapat menghubungi langsung melalui Email: promo.poultryindonesia@gmail.com
Atau dapat melalui Whatsapp Divisi Iklan & Marketing

Beranda Label Poultry

Label: poultry

Ketidakseimbangan Mikrobiota dalam Usus Ayam

Oleh : drh. Esti Dhamayanti* Sistem pencernaan ayam merupakan suatu sistem yang kompleks nan dinamis, sekaligus berperan penting bagi penyerapan nutrisi untuk tumbuh kembang maupun...

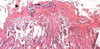
Gambaran Makroskopis dan Mikroskopis Necrotic Enteritis

POULTRYINDONESIA, Jakarta - Pada ayam pedaging, penyakit ini dapat ditemukan dalam bentuk akut dan ringan. Bentuk akut ditandai oleh adanya kematian mendadak tanpa didahului...

Kemandirian Bibit dalam Negeri

POULTRYINDONESIA, Jakarta - Dalam mendukung peningkatan konsumsi daging ayam per kapita dalam negeri, selain melalui komoditas ayam ras, bisa juga menggunakan ayam lokal. Penyediaan...

Masa Depan Perunggasan Indonesia

Industri perunggasan tanah air termasuk ke dalam sektor strategis karena memasok 65 persen protein hewani nasional serta mempekerjakan jutaan tenaga kerja. Menurut Ivan Kupin,...

Ragam Tantangan Perunggasan Nasional

POULTRYINDONESIA, Jakarta - Menurut Desianto B. Utomo selaku Ketua Gabungan Perusahaan Makanan Ternak (GPMT), industri pakan ternak merupakan penyumbang pendapatan terbesar dari perusahaan terintegrasi...

Trend Ras Petelur dan Kesehatan Unggas 2020

POULTRYINDONESIA, Jakarta - Dari sisi ayam ras petelur, dalam tulisannya di Majalah Poultry Indonesia Edisi Desember 2019 halaman 94 yang berjudul “Mendorong Terwujudnya Pabrik...

Kilas Balik Situasi Perunggasan 2019

Sektor perunggasan di Indonesia memegang peranan penting dalam penyediaan protein hewani untuk masyarakat. Bagaimana tidak, sebanyak 65 persen protein hewani disumbangkan oleh industri perunggasan...

Agentina Pengekspor Bungkil Kedelai Terbesar

POULTRYINDONESIA, Jakarta - Argentina merupakan pemimpin dunia dalam produk kedelai bernilai tambah yang menyumbang 43 persen dari ekspor bungkil kedelai dunia; diikuti oleh Brasil...

Argentina Penghasil “Harina de Soja”

Bungkil kedelai atau dikenal juga dengan soy bean meal (SBM) merupakan hasil ikutan setelah proses ekstraksi kedelai yang diambil minyaknya. Bungkil kedelai menjadi salah satu sumber...

Livestock Taiwan Expo & Forum 2019 – Wajah Agribisnis Modern Terpadu...

Pada tahun lalu, tepatnya tanggal 31 Oktober - 2 November 2019, Informa Markets Taiwan telah sukses menyelenggarakan Livestock Taiwan Expo & Forum 2019 yang...

Advertorial